8h30 → 18h00
8h30 → 13h00
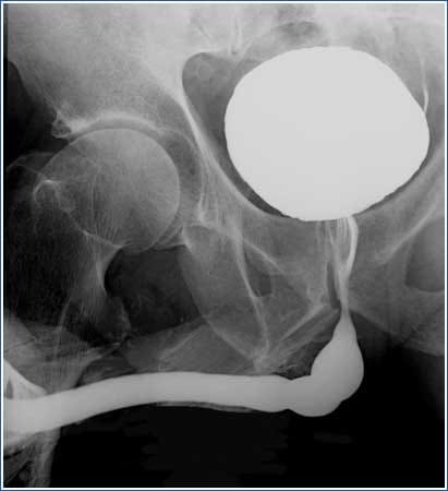
La Radiologie avec Opacification regroupe des examens spécifiques où l’introduction d’un produit de contraste (souvent à base d’iode) est nécessaire pour visualiser des organes qui ne sont pas visibles sur une radio standard.
Nos radiologues spécialisés utilisent des techniques de contraste avancées pour explorer l’invisible : Utérus, Voies Digestives et Urinaires.
Au Centre Riverside, nous maîtrisons ces techniques pour explorer les cavités digestives, urinaires et gynécologiques, permettant de diagnostiquer avec précision des obstructions, des malformations ou des inflammations.
✓ Clarté d’Image: Le produit de contraste dessine parfaitement les contours des organes, permettant une détection accrue des anomalies, même minimes, invisibles autrement.
✓ Sécurité Maximale: Nous appliquons une surveillance stricte des protocoles d’injection. Notre équipe est formée à la gestion des risques allergiques pour votre tranquillité d’esprit.
✓ Diagnostic Précis: Ces examens permettent une caractérisation fine des pathologies : perméabilité des trompes, obstructions, rétrécissements ou malformations congénitales.
✓ Expertise Technique: Nos praticiens sont expérimentés dans les gestes délicats (comme le sondage pour l’HSG ou l’UCG), garantissant un examen le plus rapide et indolore possible.
Nous réalisons une gamme d’examens spécialisés où le contraste est un élément clé, que ce soit par voie intraveineuse (Scanner, IRM) ou par introduction locale (Arthroscanner, Hystérosalpingographie).
Examen de référence du bilan de fertilité permettant la visualisation de la cavité utérine et la vérification de la perméabilité des trompes de Fallope (recherche d'obstructions, polypes ou malformations).
Exploration dynamique de la digestion haute (œsophage, estomac, duodénum) pour diagnostiquer les troubles de la déglutition, les reflux gastriques (RGO) ou les hernies hiatales.
Bilan fonctionnel et morphologique complet de l'arbre urinaire, visualisant la sécrétion des reins et l'écoulement de l'urine jusqu'à la vessie pour détecter calculs ou blocages.
Étude ciblée du bas appareil urinaire (vessie et urètre) pour rechercher des anomalies de la miction, des rétrécissements urétraux ou un reflux vésico-rénal.
Signalez impérativement toute grossesse, allergie (notamment à l’iode) ou diabète lors de la prise de rendez-vous.
Pour l’UIV et certains examens injectés, une analyse de sang récente (Créatinine) est demandée pour vérifier votre fonction rénale.
Pour le TOGD et l’UIV, il est généralement demandé d’être à jeun (ne pas manger, boire ni fumer) 4 à 6 heures avant l’examen.
Pensez à apporter votre ordonnance, vos anciens examens et vos résultats d’analyse sanguine.
Des équipements modernes pour des images nettes et précises.
Chaleur, écoute et accompagnement personnalisé.
Un cadre apaisant pour une expérience sans stress.
Une équipe qualifiée et expérimentée à votre écoute.
Rendez-vous faciles, examens rapides, résultats fiables.
Vos données et résultats sont strictement protégés.
Pour Garantir une prise en charge rapide et un diagnostic complet, veuillez rassembler ces documents avant votre venue.






Notre équipe est à votre écoute pour toute information, question sur votre examen ou prise de rendez-vous.
+212 666 656 515
La prise de RDV est souhaitable (mais non obligatoire) pour bien préparer votre venue et réduire le temps d’attente. La prise de RDV peut se faire soit:
Il est recommandé de se présenter 10 min avant le rendez-vous pris pour préparer le dossier administratif.
Pour des conditions d’examen optimales, il est souhaitable de suivre les instructions données par nos équipes (soit lors de la prise de RDV ou de la prise de contact avec notre équipe):
Oui, sur le compte-rendu qui vous sera remis à l’issue de l’examen figurent une adresse et des codes d’accès en ligne qui vous permettent, de façon sécurisée, d’accéder à vos images.