8h30 → 18h00
8h30 → 13h00
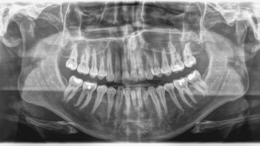
L’Imagerie Dentaire est essentielle pour le diagnostic et la planification des traitements en dentisterie et orthodontie. Nous proposons une gamme complète, allant de la Radiologie Panoramique (vue globale 2D) au Cone-Beam 3D (CBCT) et au Dentascanner (reconstruction 3D), offrant une visualisation détaillée des dents, des mâchoires et des structures avoisinantes.
Nos équipements spécialisés permettent à votre chirurgien-dentiste, orthodontiste ou chirurgien maxillo-facial de disposer des meilleures informations possibles. Le CBCT offre une précision millimétrique, indispensable pour les actes complexes comme la pose d’implants.
Nous proposons les techniques d’imagerie spécifiques adaptées à chaque besoin clinique, de l’évaluation simple à la planification chirurgicale.
Technique 2D fournissant une vue d'ensemble des dents, des mâchoires, des sinus et des articulations temporo-mandibulaires (ATM) en une seule image.
Image 2D du profil du visage, des mâchoires et des dents. Utilisée principalement en orthodontie pour évaluer la croissance et planifier le traitement.
Technologie 3D (tomographie volumique à faisceau conique) pour des images très précises des dents et de l'os. Indispensable pour l'implantologie et la chirurgie.
Production d'images en trois dimensions, souvent utilisé pour la visualisation des structures osseuses, le diagnostic de fractures ou infections et la planification d'implants.
Retirez tous les bijoux (piercings, boucles d’oreilles) et les prothèses dentaires amovibles.
Le patient est debout/assis, l’appareil tourne autour de la tête pour capturer les images.
Le patient maintient une position spécifique pour capter le profil complet du visage.
Signalez toute grossesse suspectée ; la dose est faible mais la précaution est de rigueur.
Des équipements modernes pour des images nettes et précises.
Chaleur, écoute et accompagnement personnalisé.
Un cadre apaisant pour une expérience sans stress.
Une équipe qualifiée et expérimentée à votre écoute.
Rendez-vous faciles, examens rapides, résultats fiables.
Vos données et résultats sont strictement protégés.
Pour Garantir une prise en charge rapide et un diagnostic complet, veuillez rassembler ces documents avant votre venue.






Notre équipe est à votre écoute pour toute information, question sur votre examen ou prise de rendez-vous.
+212 666 656 515
La prise de RDV est souhaitable (mais non obligatoire) pour bien préparer votre venue et réduire le temps d’attente. La prise de RDV peut se faire soit:
Il est recommandé de se présenter 10 min avant le rendez-vous pris pour préparer le dossier administratif.
Pour des conditions d’examen optimales, il est souhaitable de suivre les instructions données par nos équipes (soit lors de la prise de RDV ou de la prise de contact avec notre équipe):
Oui, sur le compte-rendu qui vous sera remis à l’issue de l’examen figurent une adresse et des codes d’accès en ligne qui vous permettent, de façon sécurisée, d’accéder à vos images.